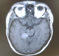
Darren Harris's tinnitus symptoms later revealed a brain tumor diagnosis. (Brain Tumor Research via SWNS)
By Emily Phillips
A man was diagnosed with an inoperable brain tumor after years of suffering with tinnitus.
Darren Harris, 59, was referred by doctors for a routine hearing test after his diagnosis of tinnitus two years before.
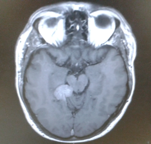
He was sent for further treatments and MRIs which revealed he had been living with an inoperable tentorial meningioma – a slow-growing, low-grade tumor at the base of his brain.
Darren underwent gamma knife radiosurgery costing $35,000 at BMI Thornbury Hospital, Sheffield to destroy the tumor cells whilst sparing healthy tissue.
It involved bolting a metal cage to his face to keep him still so they could map his tumor in 3D and precisely target it.
The treatment was successful, but Darren has since developed epilepsy, lost his driving license and was diagnosed with atrial fibrillation - a heart condition caused by the stress of seizures.
As a result, he has undergone multiple heart procedures and still lives with neurological side effects like visual impairment and pins and needles down his left side.
To mark 10 years since his diagnosis, Darren and wife Sharon, 57, hosted a fundraising event for Brain Tumor Research, raising more than $800 through an evening of meditation, spiritual messages and a tombola.
Darren, a retired IT functional analyst from Paignton, Devon, said: “I had tinnitus for a couple of years, and my doctor sent me for a hearing test.
“They did a few treatments that helped and did an MRI, but then I was called back for more MRIs, one after another.
“I knew something wasn’t right, but no one would tell me why. When I was finally referred to a neurosurgeon, my world fell apart.
“They told me I had a brain tumor.
“Reaching 10 years since my brain tumor diagnosis is something I never take for granted.
“I know how incredibly lucky I am to still be here, and that’s only because of the treatments and knowledge we have today.
“But too many people aren’t as fortunate, and that’s why funding into brain tumor research is absolutely vital.
Darren Harris's brain scan. (Brain Tumor Research via SWNS)
“We need continued investment so that more people can reach milestones like this, and so families in the future have real hope, better treatments and, ultimately, a cure”.
Darren was diagnosed in March 2015 and his treatment – gamma knife radiosurgery – uses over 300 beams of radiation to destroy tumor cells.
Darren said: “It was cutting-edge.
“They bolted a metal frame to my skull to keep me completely still, mapped the tumor in 3D, and then targeted it precisely.
“The treatment cost $35,000.
“Luckily, I had private health insurance, but many families can’t afford that.
“We need more research and funding so that everyone can access the best treatments.”
Raising more than $800 at his recent fundraiser event, he wanted to do “something positive”.
He said: “It’s been a long road, but we believe in giving back.
“For anyone at the start of their brain tumor journey, take one day at a time and listen to your surgeons.
“For those that can, please donate to the Brain Tumor Research Christmas Appeal.
“A donation of as little as $5 can fund vital research that will ultimately save lives and give people like me hope for the future.”
Brain Tumor Research funds sustainable research at dedicated centres across the UK and is the driving force behind the call for a national annual spend of $35 million to help improve survival rates and patient outcomes in line with other cancers like breast cancer and leukemia.
Letty Greenfield, community development manager at Brain Tumor Research, said: “Darren’s courage and willingness to share his experience help raise awareness of the need for greater investment in brain tumor research and improved access to life-saving technology.
“We hope that Darren’s story inspires others to support our Christmas appeal.”


(0) comments
Welcome to the discussion.
Log In
Keep it Clean. Please avoid obscene, vulgar, lewd, racist or sexually-oriented language.
PLEASE TURN OFF YOUR CAPS LOCK.
Don't Threaten. Threats of harming another person will not be tolerated.
Be Truthful. Don't knowingly lie about anyone or anything.
Be Nice. No racism, sexism or any sort of -ism that is degrading to another person.
Be Proactive. Use the 'Report' link on each comment to let us know of abusive posts.
Share with Us. We'd love to hear eyewitness accounts, the history behind an article.