Luke Taylor was diagnosed with a brain tumor. (Nia Jones via SWNS)
By Ben Barry
A dad was diagnosed with a rare brain tumor after being told his headaches and sickness were "just migraines" for a decade.
Luke Taylor, 27, has been suffering from horrendous pain in his head for a decade and would also experience sickness - and would vomit for days on end.
He repeatedly went to his GP and says he was told he was "healthy", and his symptoms were "just migraines."
But in July 2025, his symptoms got progressively worse - when he started being sick and suffering from migraines multiple times a day.
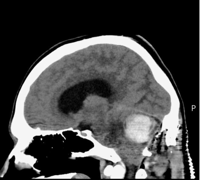
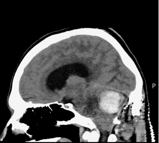
He demanded an MRI scan and the results came back showing that Luke had a haemangioblastoma  - a very rare brain tumor that can grow throughout the brain and spinal cord.
Luke underwent a nine-hour brain surgery to remove the tumour at Walton Hospital, Liverpool, and was told surgeons were able to remove all of it.
Now Luke will undergo scans on his eye, brain, spine and body every six months for the next 10 years to monitor any return.
Luke, a civil engineer, from Warrington, Cheshire, said: "When you get news like that, you go into yourself.
"Your mind races, you don't want to speak to anyone, you think your life is done.
"I was 26 when I was diagnosed. I had the rest of my life ahead of me, I have a daughter, and I wasn't sure how I was going to tell my family.
"They said if I didn't have emergency surgery, I could have days to live. I thought I was going to die."
After suffering from migraines for a decade, Luke went to his doctor and asked for an MRI scan.
Initially, doctors told him it wasn't necessary, but Luke persisted and went for a scan at Warrington Hospital.
"One day, I was fed up with my headaches - they were getting worse and worse - I wanted to cry with the pain," he said.
"I went to the doctors, and they told me I was having really bad migraines, but that didn't make sense.
"I was being sick, I was in severe pain, and I said I wanted to have an MRI scan."
Luke Taylor in the hospital. (Nia Jones via SWNS)
In July 2025, Luke was diagnosed with a haemangioblastoma - a very rare brain tumour.
By the time of diagnosis, the tumour had grown so large - bigger than a golf ball - that Luke was told he only had days to live without emergency surgery.
Within a week, he underwent a nine-hour surgery at Walton Hospital to remove the tumour.
Unfortunately, it did not go as planned and resulted in a bleed on the brain, meaning he had to undergo further emergency surgery the following day.
Luke's partner, Nia Jones, 26, a business operations specialist, said: "I saw Luke after his operation - he was very erratic.
"He was slurring his words and couldn't open his eyes.
"Then a day after the surgery, we were told he had a bleed on the brain and had to go back in for emergency surgery."
After 18 days in hospital, Luke was discharged, and had to relearn how to walk, speak and use his hands after the double surgery.
Nia said: "What followed were some of the hardest months.
"Luke had to relearn how to walk, speak again, and use his hands. He couldn’t dress himself or even cut up his own food.
"Every day was frustrating, exhausting, and emotional - for both of us - but we were determined to do everything possible to help him recover. "
Luke Taylor's brain scan. (Nia Jones via SWNS)
In November 2025, Luke received the news that the operation was successful and doctors were able to remove all the tumour.
Now he will undergo scans on his eye, brain, spine and body every six months for the next 10 years to monitor any return.
"I was overwhelmed when they told me the surgery was successful," Luke said.
"I cried my eyes out, I was so happy they got it all."
On July 18, 2026, Nia, Luke, his sister, Leah, and her partner, Gary, will be hiking the three Yorkshire peaks in one day to raise money for the Brain Tumour Charity.
Nia said: "We have gone through a lot with the family.
"We wanted to raise money for the charity that has supported us throughout, and show support to others.
"We want to show people that there is light at the end of the tunnel and people can get through this."
Joanna Moss, Director of Services at The Brain Tumour Charity, said: "Faster diagnosis of brain tumours is vital.
"That's why The Brain Tumour Charity works with healthcare professionals to increase their confidence in recognising signs and symptoms, and in referring for scans if they are at all concerned."




(0) comments
Welcome to the discussion.
Log In
Keep it Clean. Please avoid obscene, vulgar, lewd, racist or sexually-oriented language.
PLEASE TURN OFF YOUR CAPS LOCK.
Don't Threaten. Threats of harming another person will not be tolerated.
Be Truthful. Don't knowingly lie about anyone or anything.
Be Nice. No racism, sexism or any sort of -ism that is degrading to another person.
Be Proactive. Use the 'Report' link on each comment to let us know of abusive posts.
Share with Us. We'd love to hear eyewitness accounts, the history behind an article.