
(Photo by RDNE Stock project via Pexels)
By Stephen Beech
A "good" gut bacteria found in probiotic drinks and tablets leads to a healthier pregnancy, according to new research.
The Cambridge University-led study has found the first "clear evidence" that Bifidobacterium breve in pregnant mothers regulates the placenta’s production of hormones critical for a healthy pregnancy.
They say it could help prevent common pregnancy complications, including preeclampsia and miscarriage.
The research team compared the placentas of mice with no gut bacteria to those of mice with Bifidobacterium breve in their gut during pregnancy.

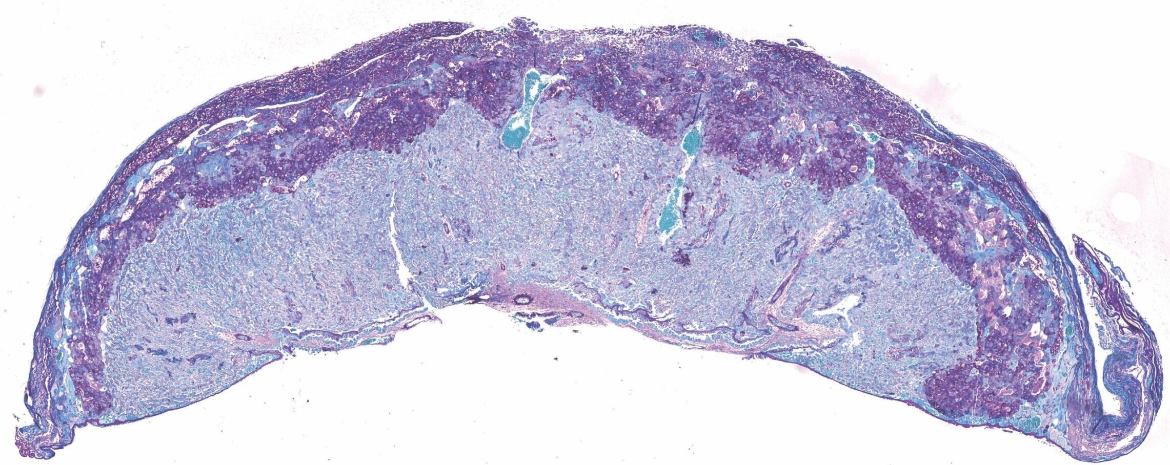
University of Cambridge scientists have discovered that the good gut bacteria Bifidobacterium breve in pregnant mothers regulates the placenta's production of hormones critical for a healthy pregnancy. (Jorge Lopez-Tello/ Cambridge University via SWNS)
Pregnant mice without Bifidobacterium breve in their gut had a higher rate of complications, including fetal growth restriction and fetal low blood sugar, and increased fetal loss.
Researchers say the gut bacteria seem to play a "crucial" role in prompting the placenta to produce pregnancy hormones that allow the mum’s body to support the pregnancy.
The study, published in the Journal of Translational Medicine, is the first time scientists have found a link between the gut microbiome and the placenta.
The research team says it paves the way for testing the mother’s gut microbiome to identify pregnancy complications - such as gestational diabetes, preeclampsia or miscarriage - early, and then manipulating it with probiotics to improve the chances of a healthy baby.

(Photo by Yan Krukau via Pexels)
Report first author Dr. Jorge Lopez Tello, of Cambridge University, said: “Our results open up an entirely new way to assess the health of a pregnant mother and her developing fetus by looking at the mother’s gut microbiome.
“Everybody ignores the placenta - after nine months of pregnancy, it just gets thrown in the bin.
"But now we understand more about how it works, in the future pregnancy complications like gestational diabetes, preeclampsia, miscarriage and stillbirth might be prevented simply by adjusting the mother’s gut microbes to improve the function of the placenta.”
The placenta connects the mother to fetus, and provides the nutrients, oxygen and hormones essential for healthy development of the baby.

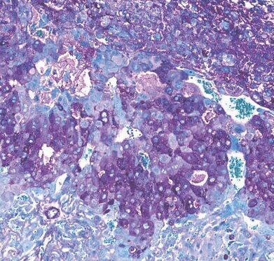
Over 150 biological processes in the placenta - involving over 400 different proteins - were found to be different in mice with, and without, Bifidobacterium breve in their gut. (Jorge Lopez-Tello/ Cambridge University via SWNS)
In the study, more than 150 biological processes in the placenta - involving over 400 different proteins - were found to be different in mice with, and without, Bifidobacterium breve in their gut.
The mice with Bifidobacterium breve in their gut lost fewer of their pregnancies.
Their placentas were also better at absorbing and transporting nutrients, such as amino acids and lactate, from mother to fetus.
The placentas of mice with Bifidobacterium breve in their gut also produced more of the hormones important for pregnancy, such as prolactins and pregnancy-specific glycoproteins.
By studying mice, whose diet, activity and gut microbiome could be tightly controlled, the researchers are sure their findings are not caused by other factors.

(Photo by Jessyka Marques via Pexels)
Using mice allowed them to pinpoint the importance of Bifidobacterium breve - a finding that is also relevant to human pregnancies.
The team says more research is needed to understand how "good" bacteria work within the human body’s full gut microbiome, and whether they could be manipulated in the gut without any negative effects.
Bifidobacterium breve occurs naturally in the human gut microbiome, but in pregnant women the levels of this "good" bacteria can be altered by stress or obesity.
It is widely available as a supplement in probiotic drinks and tablets.
The babies of up to 10% of first-time mothers have low birth weight or fetal growth restriction.
If a baby doesn’t grow properly in the womb, there is an increased risk of conditions such as cerebral palsy, as well as anxiety, depression, autism, and schizophrenia in later life.

Mice with Bifidobacterium breve in their gut lost fewer of their pregnancies. (Jorge Lopez-Tello/ Cambridge University via SWNS)
Study senior author Professor Amanda Sferruzzi-Perri, of Cambridge University, said: “Our research reveals a whole new layer of information about how pregnancy works, and will help us find new interventions that can improve the chances of a healthy pregnancy for mother and baby."
Professor Lindsay Hall, who was also involved in the study, said: “It’s exciting to think that beneficial microbes like Bifidobacterium - which naturally support gut and immune health - could be harnessed during pregnancy to improve outcomes."
Professor Hall, from the University of Birmingham’s College of Medicine and Health, added: "Using something like a probiotic offers a promising alternative to traditional therapeutics, potentially reducing risks while enhancing well-being in mother and baby.”
(0) comments
Welcome to the discussion.
Log In
Keep it Clean. Please avoid obscene, vulgar, lewd, racist or sexually-oriented language.
PLEASE TURN OFF YOUR CAPS LOCK.
Don't Threaten. Threats of harming another person will not be tolerated.
Be Truthful. Don't knowingly lie about anyone or anything.
Be Nice. No racism, sexism or any sort of -ism that is degrading to another person.
Be Proactive. Use the 'Report' link on each comment to let us know of abusive posts.
Share with Us. We'd love to hear eyewitness accounts, the history behind an article.