Photo by Vika Glitter via Pexels
By Stephen Beech
The first physical signs of chronic stress have been detected using AI.
The state-of-the-art technology was used to assess routine chest scans.
Using a deep learning AI model, American researchers identified the first-of-its-kind biomarker of chronic stress detectable through routine imaging.
They say the breakthrough could lead to quicker, more effective treatments.
Chronic stress can affect both physical and psychological well-being, causing a range of health issues -including anxiety, insomnia, muscle pain, high blood pressure and a weakened immune system.
Previous research has shown that chronic stress can contribute to the development of major illnesses such as depression, heart disease and obesity.
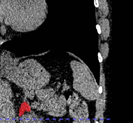
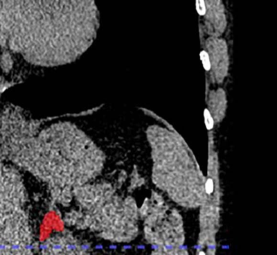
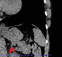
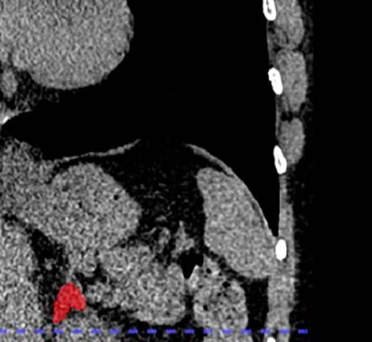
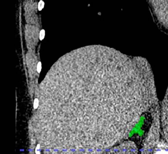
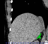
Lead author of the new study, Dr. Elena Ghotbi, developed and trained a deep learning model to measure adrenal gland volume on existing CT scans.
(Elena Ghotbi, M.D., and RSNA via SWNS)
Each year, tens of millions of chest CT scans are performed in the United States alone.
Dr. Ghotbi, a postdoctoral research fellow at Johns Hopkins University School of Medicine, Baltimore, said: “Our approach leverages widely available imaging data and opens the door to large-scale evaluations of the biological impact of chronic stress across a range of conditions using existing chest CT scans.
“This AI-driven biomarker has the potential to enhance cardiovascular risk stratification and guide preventive care without additional testing or radiation.”
Senior author Dr. Shadpour Demehri says chronic stress is a prevalent condition or complaint that many adults deal with on a daily basis.
He said: “For the first time, we can ‘see’ the long-term burden of stress inside the body, using a scan that patients already get every day in hospitals across the country.
"Until now, we haven’t had a way to measure and quantify the cumulative effects of chronic stress, other than questionnaires, surrogate serum markers like chronic inflammation, and cortisol measurement, which is very cumbersome to obtain."
Unlike single cortisol measurements, which provide a momentary snapshot of stress levels, the researchers explained that adrenal volume acts like a biological barometer of chronic stress.
(Elena Ghotbi, M.D., and RSNA via SWNS)
The research team obtained data from 2,842 participants with an average age of 69.3 from a comprehensive study combining chest CT scans, validated stress questionnaires, cortisol measures and markers of allostatic load - the cumulative physiological and psychological effects of chronic stress on the body.
The team applied their deep learning model to the CT scans to segment and calculate the volume of the adrenal glands.
Salivary cortisol was collected eight times per day over two days.
Allostatic load was based on body mass index (BMI), creatinine, hemoglobin, albumin, glucose, white blood count, heart rate and blood pressure.
Statistical associations were assessed between AVI and cortisol, allostatic load, and psychosocial stress measures, including depression and perceived stress questionnaires.
The team found that AI-derived AVI correlated with validated stress questionnaires, circulating cortisol levels and future adverse cardiovascular outcomes.
Higher AVI was associated with greater cortisol, peak cortisol and allostatic load.
Participants with high perceived stress had higher AVI compared to those with low stress.
AVI was also associated with a higher left ventricular mass index. Each 1 cm³/m² increase in AVI was linked to a greater risk of heart failure and mortality.
(Elena Ghotbi, M.D., and RSNA via SWNS)
Dr. Ghotbi said: “With up to 10-year follow-up data on our participants, we were able to correlate AI-derived AVI with clinically meaningful and relevant outcomes.
“This is the very first imaging marker of chronic stress that has been validated and shown to have an independent impact on a cardiovascular outcome, namely, heart failure.”
Study co-author Teresa Seeman, Professor of epidemiology at UCLA and a leading researcher in stress and health, said: “For over three decades, we’ve known that chronic stress can wear down the body across multiple systems.
“What makes this work so exciting is that it links a routinely obtained imaging feature, adrenal volume, with validated biological and psychological measures of stress and shows that it independently predicts a major clinical outcome.
"It’s a true step forward in operationalizing the cumulative impact of stress on health.”
Dr. Demehri, Professor of radiology at Johns Hopkins, says that by linking an "easily measurable" imaging feature with multiple validated indicators of stress and downstream disease, the research introduces an entirely new, practical way to quantify chronic stress.
He added: “The key significance of this work is that this biomarker is obtainable from CTs that are performed widely in United States for various reasons.
“Secondly, it is a physiologically sound measure of adrenal volume, which is part of the chronic stress physiologic cascade.”
The researchers say the imaging biomarker could be used in a range of diseases associated with chronic stress in middle-aged and older adults.
The findings are due to be presented at the annual meeting of the Radiological Society of North America (RSNA) in Chicago next week.





(0) comments
Welcome to the discussion.
Log In
Keep it Clean. Please avoid obscene, vulgar, lewd, racist or sexually-oriented language.
PLEASE TURN OFF YOUR CAPS LOCK.
Don't Threaten. Threats of harming another person will not be tolerated.
Be Truthful. Don't knowingly lie about anyone or anything.
Be Nice. No racism, sexism or any sort of -ism that is degrading to another person.
Be Proactive. Use the 'Report' link on each comment to let us know of abusive posts.
Share with Us. We'd love to hear eyewitness accounts, the history behind an article.